Antioxidant Effects of Vernonia amygdalina Leaf Extract on 1,2-Dimethylhydrazine-Induced Colon Toxicity in Rats
| Received 07 May, 2025 |
Accepted 14 Sep, 2025 |
Published 30 Sep, 2025 |
Background and Objective: Reported to possess different biological effects, the medicinal plant Vernonia amygdalina (bitter leaf) is perceived as a wonder herb by locals. The study aims to investigate the antioxidant properties of Vernonia amygdalina leaf extract on 1,2-dimethylhydrazine-induced colon toxicity in rats. Materials and Methods: Forty male Wistar albino rats weighing 150-200 g were assigned to 8 groups (5 rats per group): Control, DMH, silymarin, VA only, pretreatment (200 mg/kg b.wt.), pretreatment (400 mg/kg b.wt.), post-treatment (200 mg/kg b.wt.), and post-treatment (400 mg/kg b.wt.) groups, respectively. Except control and VA only groups, the rats were exposed to DMH before or after treatment with VA via the intraperitoneal route at a single dose of 40 mg/kg b.wt.). Treatment lasted 21 days. Results: That there were significant reductions (p<0.05) in the concentrations of colon tissue antioxidant enzymes (CAT, SOD, GPx, GSH, GR and GSH (%)) relative to control and the other groups. However, administration of ethanol extract of V. amygdalina to rats significantly increased (p<0.05) the levels of the antioxidant enzymes when compared with the DMH group. Consequently, there was a significant decrease (p<0.05) in the mean values of Colon Total Protein (TP), Nitric Oxide (NO), and Malondialdehyde (MDA) in the treatment groups relative to the control and DMH groups. Colon tissues of DMH-induced rats treated with Vernonia amygdalina revealed a significant reduction (p<0.05) in organ weight relative to the DMH group. Histological studies revealed the protective and regenerative effects of Vernonia amygdalina on colon tissues. Conclusions: The findings from this study provided an insight into the therapeutic properties of Vernonia amygdalina and could serve as a benchmark for further studies
| Copyright © 2025 Okpiabhele and Abu. This is an open-access article distributed under the Creative Commons Attribution License, which permits unrestricted use, distribution, and reproduction in any medium, provided the original work is properly cited. |
INTRODUCTION
Toxicity is a measure of the potential of a substance to induce harmful effects in living organisms1. It encompasses the degree of damage caused by a chemical substance to exposed tissues, as well as its impact on specific components of an organism, such as cells (cytotoxicity) or organs (organo-toxicity), ultimately compromising the overall health and function of the organism2. Tissues are exceptionally vulnerable to toxic insults due to the crucial functions performed by blood cells. Consequently, substances that disrupt essential processes such as nutrient delivery (e.g., iron), toxin and metabolite removal (e.g., urea), or the production of vital growth factors like erythropoietin and granulocyte colony-stimulating factor (G-CSF) can exert detrimental effects on blood cells, ultimately compromising their function and overall health3.
The 1,2-Dimethylhydrazine (DMH) is a powerful colon toxicant that reliably induces colorectal tumors in experimental animal models. As the most extensively utilized model of chemically induced colon toxicity, DMH exposure culminates in carcinogenesis, making it a valuable tool for investigating the complex mechanisms underlying colon cancer development4. The 1,2-Dimethyl hydrazine shares many resemblances to human colorectal toxicity, including resemblance in the response to some promotional and preventive agents5. Models used in DMH toxicity studies are developed for exploring the medicinal properties of plant-derived components, because they offer identical site and pathological changes, which can also be found in humans6.
Vernonia amygdalina, a member of the daisy family, is a small shrub that grows in tropical Africa and possesses much economic significance7. Bitter leaf, as it is popularly known, is a medicinal plant widely used in traditional medicine across various parts of Nigeria. The leaves of this plant, which have numerous bioactive compounds, offer a wide range of potential health benefits8. Vernonia amygdalina is rich in biologically active compounds such as antioxidants and polyphenols, which help to reduce oxidative stress resulting from the accumulation of free radicals, thus leading to the prevention of diseases9. The study aims to investigate the antioxidant properties of Vernonia amygdalina leaf extract on 1,2-dimethylhydrazine-induced colon toxicity in rats.
MATERIALS AND METHODS
Study area: This study commenced on November 10th, 2024, and ended on December 12th, 2024. The laboratory experiment was carried out at the laboratory section of the Department of Biochemistry, University of Benin, Benin City, Edo State, Nigeria.
Experimental animals: Forty Wistar albino rats were purchased from the animal house, Department of Biochemistry, University of Benin, Benin City. The sexes and weights of the rats were determined, and they were males with body weights ranging from 150-200 g. The rats were accommodated in clean, disinfected cages under standard laboratory conditions, with access to feeds (pelletized growers mash) and water ad libitum. They were acclimatized for 2 weeks before the experiment began.
Plant collection, authentication, and extract preparation: Fresh mature leaves of Vernonia amygdalina obtained from a vegetable farm in Benin City, Edo State, were identified and authenticated in the Herbarium of the Department of Plant Physiology and Biotechnology, University of Benin, Benin City, Edo State, Nigeria. The leaves were separated from the stalk, washed and air-dried at room temperature, pulverized, crushed into fine powder, and weighed. Ethanol extract of the leaves was prepared by soaking 400 g of the powdered plant leaves in 1 L of absolute ethanol at room temperature for 72 hrs. The extract was thereafter filtered first through Whatman filter paper No. 42 (125 mm) and concentrated with a rotatory evaporator at 40°C. The concentrated extract was subsequently freeze-dried via lyophilization.
Experimental design/protocol: The rats were randomly assigned to 8 groups of 5 rats each as follows: Control, DMH, silymarin, VA only, pretreatment [200 mg/kg b.wt.], pretreatment (400 mg/kg b.wt.), post-treatment (200 mg/kg b.wt.), and post-treatment (400 mg/kg b.wt.) groups, respectively. Except for the control and VA only groups, the rats were exposed to DMH before or after treatment with VA via the intraperitoneal route at a single dose of 40 mg/kg b.wt.10. Rats in the silymarin group were treated with the standard hepato-/cardio-protective drug, silymarin (100 mg/kg b.wt.). Treatment lasted 21 days (3 weeks). The experimental protocol was approved by the Faculty of Life Science Ethical Committee of the University of Benin, Benin City, Edo State, Nigeria.
Sample collection: At the end of the treatment period, blood samples were collected via cardiac puncture under mild ketamine anesthesia into plain and heparin/EDTA containers. The blood was centrifuged at 3500 rpm for 15 min to obtain plasma. Colon tissues were excised and used for histological studies, as well as for homogenates preparation.
Biochemical assays: The following assays were conducted in the course of the study; Total protein, Nitric oxide (NO), Superoxide dismutase (SOD), Catalase (CAT), Malondialdehyde (MDA), Glutathione peroxidase (GPx), Glutathione (GSH) and Glutathione reductase (GR).
Data analysis: The results obtained from this study were evaluated using the One-way Analysis of Variance (ANOVA). Data was expressed as Mean±Standard Error Mean (n = 5). For each parameter, values having different superscripts between groups differ significantly (p<0.05). A post hoc comparison test was carried out using the Turkey’s HSD test to evaluate pair-wise differences among group means. All statistical analyses were done using the SPSS software (version 20).
Ethical consideration: This study was conducted under the principles and guidelines of the University of Benin Postgraduate Board on Research Ethics. The experimental protocol was approved by the Faculty of Life Science Ethical Committee of the University of Benin, Benin City, Edo State, Nigeria.
RESULTS AND DISCUSSION
In this current research, the rats were exposed to 1,2-dimethylhydrazine (DMH before and after Vernonia amygdalina administration. Results obtained for the body weight of rats as shown in Table 1, indicated that the DMH group recorded significant reductions (p<0.05) in the final body weight when compared with control and the other groups. When rats are exposed to toxicants, they typically experience a decrease in body weight compared to control rats, meaning the exposure to DMH can lead to weight loss in the animals; this is often used as an indicator of toxicity and is frequently studied in research investigating potential preventive treatments for diseases11. The percentage increases in body weight of rats treated with ethanol extract of V. amygdalina leaves were significantly increased (p<0.05), relative to the DMH group as shown in Table 2. This implies that the extract possesses beneficial properties for weight management. This agrees with a similar study carried out by Obike et al.12. However, there were a significant increase (p<0.05) in the relative weight of the colon when compared with other groups, as shown in Table 3.
Antioxidant enzymes are considered to be the first line of cellular defense against oxidative damage, thus, exposure to chemicals or toxicants can alter the activity of these enzymes, leading to the generation of free radicals, which could affect colonic health13. Exposure of Wistar albino rats to DMH led to significant reductions (p<0.05) in the concentrations of colon tissue antioxidant enzymes (CAT, SOD, GPx, GSH, GR and GSH (%)) relative to control and the other groups as shown in Table 4 and 5. Administration of DMH has been reported to induce the generation of toxic compounds in the colon, and levels of such toxic metabolites are known to be reduced considerably by antioxidants14.
| Table 1: | Body weight of rats | |||
| Groups | Initial weight (g) | Final weight (g) |
| Control | 170.87±8.12a | 200.38±14.48a |
| DMH | 195.03±12.01b | 178.95±11.17b |
| Silymarin | 182.39±5.20c | 212.42±13.56ac |
| VA only | 180.44±3.42c | 216.08±11.94c |
| Pre-treatment (200 mg/kg b.wt.) | 170.36±35.09a | 188.86±41.39d |
| Pre-treatment (400 mg/kg b.wt.) | 168.15±34.62d | 187.66±16.35de |
| Post-treatment (200 mg/kg b.wt.) | 177.66±6.87ae | 195.44±7.48f |
| Post-treatment (400 mg/kg b.wt.) | 166.50±6.47df | 204.52±12.37ag |
| Values are stated as Mean±SEM (n = 5) and For each parameter, values having different superscripts between groups differ significantly (p<0.05) | ||
| Table 2: | Change in body weight of rats | |||
| Groups | Weight change (g) | Weight change (g) (%) |
| Control | 29.51±6.36 | 17.27±0.78 |
| DMH | 16.08±0.84 | 8.24±0.06 |
| Silymarin | 30.03±8.36 | 16.46±1.60 |
| VA only | 35.64±8.52 | 19.75±2.49 |
| Pre-treatment (200 mg/kg b.wt.) | 18.50±6.30 | 13.18±0.17 |
| Pre-treatment (400 mg/kg b.wt.) | 41.51±18.27 | 30.04±0.53 |
| Post-treatment (200 mg/kg b.wt.) | 17.78±0.61 | 10.00±0.88 |
| Post-treatment (400 mg/kg b.wt.) | 38.02±5.90 | ±0.91 |
| Values are stated as Mean±SEM (n = 5) and For each parameter, values having different superscripts between groups differ significantly (p<0.05) | ||
| Table 3: | Relative weight of rat colon | |||
| Groups | Relative colon weight (x10–3) |
| Control | 4.70±0.50 |
| DMH | 7.80±0.10 |
| Silymarin | 6.10±0.20 |
| VA only | 5.70±0.80 |
| Pre-treatment (200 mg/kg b.wt.) | 5.98±0.31 |
| Pre-treatment (400 mg/kg b.wt.) | 7.40±0.20 |
| Post-treatment (200 mg/kg b.wt.) | 5.50±0.20 |
| Post-treatment (400 mg/kg b.wt.) | 4.80±0.30 |
| Values are stated as Mean±SEM (n = 5) and For each parameter, values having different superscripts between groups differ significantly (p<0.05) | |
| Table 4: | Activities of antioxidant enzymes in rat colon | |||
| Groups | Catalase (U/min) x10–2 | SOD (U/min) x10–2 | GPx (U/min) x10–4 |
| Control | 70.75±8.65a | 74.50±0.50a | 15.00±0.00a |
| DMH | 10.70±1.10b | 27.50±1.50b | 11.50±0.50b |
| Silymarin | 39.25±9.15c | 66.00±1.00c | 14.50±0.50c |
| VA only | 39.50±3.80c | 71.00±0.58d | 14.33±0.33c |
| Pre-treatment (200 mg/kg b.wt.) | 35.90±1.30c | 74.00±0.00d | 14.50±0.50c |
| Pre-treatment (400 mg/kg b.wt.) | 40.10±1.10d | 74.67±0.33d | 15.67±0.33d |
| Post-treatment (200 mg/kg b.wt.) | 40.55±9.35d | 74.00±1.00d | 14.50±0.50c |
| Post-treatment (400 mg/kg b.wt.) | 41.05±4.35d | 74.67±0.33d | 14.67±0.33c |
| Values are stated as Mean±SEM (n = 5), For each parameter, values having different superscripts between groups differ significantly (p<0.05), SOD: Superoxide dismutase and GPx: Glutathione peroxidase | |||
| Table 5: | Glutathione reductase activity and concentration of reduced glutathione in rat colon | |||
| Groups | GR (U/min) x10–3 | GSH (mg/mL) | GSH (%) |
| Control | 40.00±0.00a | 44.05±0.52a | 94.50±0.67a |
| DMH | 9.00±0.58b | 8.87±0.52b | 85.34±0.34b |
| Silymarin | 30.00±0.00c | 34.72±1.56c | 93.75±0.42a |
| VA only | 26.67±3.33d | 25.14±0.78d | 94.25±0.08a |
| Pre-treatment (200 mg/kg b.wt.) | 30.00±0.00c | 26.43±0.52d | 94.50±1.33a |
| Pre-treatment (400 mg/kg b.wt.) | 36.67±3.33c | 31.61±0.01c | 95.75±1.58a |
| Post-treatment (200 mg/kg b.wt.) | 30.00±5.77c | 28.76±1.30d | 94.25±1.08a |
| Post-treatment (400 mg/kg b.wt.) | 36.67±3.33c | 31.87±4.41c | 96.17±0.50a |
| Values are stated as Mean±SEM (n = 5), For each parameter, values having different superscripts between groups differ significantly (p<0.05), GR: Glutathione reductase and GSH: Reduced glutathione concentration | |||
| Table 6: | Levels of nitric oxide, total protein, and malondialdehyde in colon tissues of rats | |||
| Groups | Nitric oxide (μmole/L) | Total protein (g/dL) | MDA (mole/mg tissue) x10–3 |
| Control | 17.45±4.15a | 4.83±0.82a | 3.50±0.50a |
| DMH | 65.50±2.40b | 11.99±1.37b | 11.50±0.50b |
| Silymarin | 20.50±0.10c | 5.55±0.21c | 2.50±0.50c |
| VA only | 29.25±0.55c | 5.79±0.11c | 3.00±0.00d |
| Pre-treatment (200 mg/kg b.wt.) | 31.90±8.90d | 6.04±0.61d | 3.50±0.50d |
| Pre-treatment (400 mg/kg b.wt.) | 30.00±0.80d | 4.96±0.08e | 3.63±0.63d |
| Post-Treatment (200 mg/kg b.wt.) | 33.45±6.25d | 6.33±0.06d | 3.50±0.50d |
| Post-Treatment (400 mg/kg b.wt.) | 31.30±6.50d | 5.52±0.54c | 3.67±0.67d |
| Values are stated as Mean±SEM (n = 5), For each parameter, values having different superscripts between groups differ significantly (p<0.05) | |||
|
|
However, administration of ethanol extract of V. amygdalina to rats significantly increased (p<0.05) the levels of the antioxidant enzymes when compared with the DMH group. This implies that pretreatment as well as post-treatment with V. amygdalina resulted in the protection against DMH-induced colon toxicity by amelioration of oxidative stress and inflammatory damage15. Also, in this study, there was a significant increase (p<0.05) in the mean values of colon nitric oxide (NO), total protein (TP), and MDA in the DMH group when compared with the control and the other groups, as shown in Table 6. The increase of these parameters in the colon indicates protein loss and oxidative stress16. Furthermore, treatment of rats with ethanol extract of V. amygdalina significantly decreased (p<0.05) the levels of colon NO, TP, and MDA relative to the DMH group. These suggest that the extract potentially protects against oxidative stress generated by free radicals, which could be linked to its antioxidant and anti-inflammatory properties17.
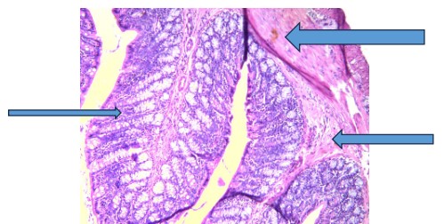
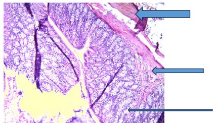
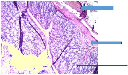
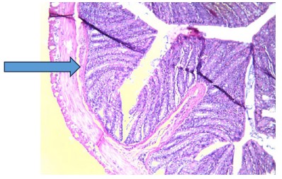
Sections of the colon tissues of rats exposed to 1,2-dimethylhydrazine revealed inflamed colon mucosa and tumor development in the colon when compared with control, which displayed normal mucosa (very thin arrow) consisting of columnar epithelium, lamina propria, and muscularis mucosa (Fig. 1). Also, the underlying submucosa (thin arrow) and muscularis propria (thick arrow) are essentially normal.
|
|
|
|
|
|
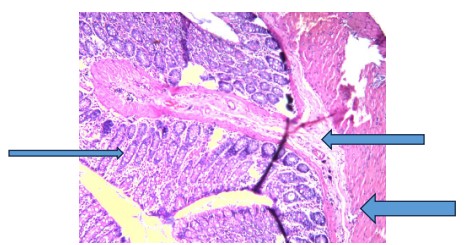
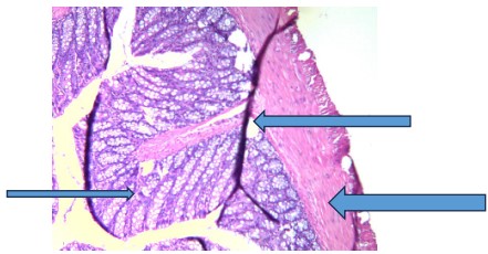
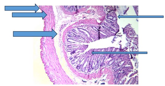
The irregularities detected in the DMH group, as shown in Fig. 2, are due to increased cell proliferation, apoptosis, and the formation of preneoplastic lesions and tumors18. Consequently, segments of colon tissues of rats administered V. amygdalina alone or before and after DMH induction revealed mild to moderate recovery from early signs of colon tumorigenesis, followed by reduced inflammatory cell infiltration as shown in Fig. 3-8, respectively. This suggests that the extract can improve colon histoarchitecture deformities because of its protective effects, which are characterized by bioactive components like flavonoids, saponins, and polyphenols present in it19.
CONCLUSION
This study demonstrates that Vernonia amygdalina exhibits protective and restorative effects on the colon by enhancing antioxidant enzyme levels (CAT, SOD, GPx, GSH, GR, and GSH (%)) and reducing markers of oxidative stress (TP, NO, and MDA) in DMH-induced rats. Treatment with V. amygdalina also significantly reduced colon tissue weight and improved histological integrity. These findings highlight its potential as a phyto-medicinal agent for managing colon toxicity and oxidative stress, warranting further investigation through advanced pharmacological and clinical trials.
SIGNIFICANT STATEMENT
This study discovered the protective and antioxidant potential of Vernonia amygdalina (bitter leaf) extract against colon toxicity and oxidative damage induced by 1,2-dimethylhydrazine in rats. The extract effectively reduced inflammation and oxidative stress in colon tissues, suggesting its ability to mitigate early signs of colon cancer. These findings highlight the therapeutic potential of bitter leaf, a widely accessible plant with a rich history in traditional medicine. This study is significant because it supports the potential use of natural plant-based remedies in managing colon health and preventing carcinogenesis. This study will help the researchers to uncover the critical areas of colon cancer chemoprevention and plant-based antioxidant therapy that many researchers were not able to explore. Thus, a new theory on phytomedicinal intervention in colon toxicity may be arrived at.
ACKNOWLEDGMENT
We wish to appreciate Dr. Frank and Mr. Richard of the Department of Biochemistry, University of Benin, Nigeria, for their technical assistance, and to the editorial staff and reviewers who took part in the success of this special issue.
REFERENCES
- Elnabi, M.K.A., N.E. Elkaliny, M.M. Elyazied, S.H. Azab and S.A. Elkhalifa et al., 2023. Toxicity of heavy metals and recent advances in their removal: A review. Toxics, 11.
- Ernst, E., 2007. Herbal Medicines: Balancing Benefits and Risks. In: Dietary Supplements and Health: Novartis Foundation Symposium 282, Bock, G. and J. Goode (Eds.), Wiley and Sons, New Jersey, ISBN: 9780470319444, pp: 154-172.
- Charkiewicz, A.E. and J.R. Backstrand, 2020. Lead toxicity and pollution in Poland. Int. J. Environ. Res. Public Health, 17.
- Newell L.E. and J.A. Heddle, 2004. The potent colon carcinogen, 1,2-dimethylhydrazine induces mutations primarily in the colon. Mutat. Res. Genet. Toxicol. Environ. Mutagen., 564: 1-7.
- Saini, M.K., P. Sharma, J. Kaur and S.N. Sanyal, 2009. The cyclooxygenase-2 inhibitor etoricoxib is a potent chemopreventive agent of colon carcinogenesis in the rat model. J. Environ. Pathol. Toxicol. Oncol., 28: 39-46.
- Corpet, D.E. and F. Pierre, 2005. How good are rodent models of carcinogenesis in predicting efficacy in humans? A systematic review and meta-analysis of colon chemoprevention in rats, mice and men. Eur. J. Cancer, 41: 1911-1922.
- Toyang, N.J. and R. Verpoorte, 2013. A review of the medicinal potentials of plants of the genus Vernonia (Asteraceae). J. Ethnopharmacol., 146: 681-723.
- Farombi, E.O. and O. Owoeye, 2011. Antioxidative and chemopreventive properties of Vernonia amygdalina and Garcinia biflavonoid. Int. J. Environ. Res. Public Health, 8: 2533-2555.
- Adedapo, A.A., O.J. Aremu and A.A. Oyagbemi, 2014. Anti-oxidant, anti-inflammatory and antinociceptive properties of the acetone leaf extract of Vernonia amygdalina in some laboratory animals. Adv. Pharm. Bull., 4: 591-598.
- Venkatachalam, K., R. Vinayagam, M.A.V. Anand, N.M. Isa and R. Ponnaiyan, 2020. Biochemical and molecular aspects of 1,2-dimethylhydrazine (DMH)-induced colon carcinogenesis: A review. Toxicol. Res., 9: 2-18.
- Umeaku, U., D.A. Ofusori, O.P. Umeaku and T.A. Edward, 2020. The effect of aqueous extract of Ocimum gratissium (Linn) on 1, 2-dimethyl hydrazine induced colon cancer in male Wistar rats. Int. J. Hum. Anat., 2: 22-35.
- Obike, C.A., I.I. Ijeh, A.C.C. Egbuonu and E.E. Ubah, 2024. Body and organ weight changes in male Wistar rats treated with saponins extract of Vernonia amygdalina and Vernonia colorata. Sci. Africana, 23: 133-146.
- Gaya-Bover, A., R. Hernández-López, M. Alorda-Clara, J.M.I. de la Rosa and E. Falcó et al., 2020. Antioxidant enzymes change in different non-metastatic stages in tumoral and peritumoral tissues of colorectal cancer. Int. J. Biochem. Cell Biol., 120.
- Hamiza, O.O., M.U. Rehman, M. Tahir, R. Khan and A.Q. Khan et al., 2012. Amelioration of 1,2 dimethylhydrazine (DMH) induced colon oxidative stress, inflammation and tumor promotion response by tannic acid in Wistar rats. Asian Pac. J. Cancer Prev., 13: 4393-4402.
- Nwanjo, H.U., 2005. Efficacy of aqueous leaf extract of Vernonia amygdalina on plasma lipoprotein and oxidative status in diabetic rat models. Niger. J. Physiol. Sci., 20: 39-42.
- Okolie, N., A. Falodun and O. Davids, 2014. Evaluation of the antioxidant activity of root extract of pepper fruit (Dennetia tripetala), and it's potential for the inhibition of lipid peroxidation. Afr. J. Tradit. Complementary Altern. Med., 11: 221-227.
- Caetano, L.C.G., B.D. Pacheco, G.A.R. Samora, L.F. Teixeira-Salmela and A.A. Scianni, 2020. Self-efficacy to engage in physical exercise and walking ability best predicted exercise adherence after stroke. Stroke Res. Treat., 2020.
- Atangwho, I.J., E.E. Edet, D.E. Uti, A.U. Obi, M.Z. Asmawi and M. Ahmad, 2012. Biochemical and histological impact of Vernonia amygdalina supplemented diet in obese rats. Saudi J. Biol. Sci., 19: 385-392.
- Ugwoke, C.E.C., U. Nzekwe and G.I. Ameh, 2010. Phytochemical constituents and ethnobotany of the leaf extract of bitter leaf (Vernonia amygdalina) Del. J. Pharm. Allied Sci., 7.
How to Cite this paper?
APA-7 Style
Okpiabhele,
A.O., Abu,
O.D. (2025). Antioxidant Effects of Vernonia amygdalina Leaf Extract on 1,2-Dimethylhydrazine-Induced Colon Toxicity in Rats. Trends in Biological Sciences, 1(2), 183-191. https://doi.org/10.21124/tbs.2025.183.191
ACS Style
Okpiabhele,
A.O.; Abu,
O.D. Antioxidant Effects of Vernonia amygdalina Leaf Extract on 1,2-Dimethylhydrazine-Induced Colon Toxicity in Rats. Trends Biol. Sci 2025, 1, 183-191. https://doi.org/10.21124/tbs.2025.183.191
AMA Style
Okpiabhele
AO, Abu
OD. Antioxidant Effects of Vernonia amygdalina Leaf Extract on 1,2-Dimethylhydrazine-Induced Colon Toxicity in Rats. Trends in Biological Sciences. 2025; 1(2): 183-191. https://doi.org/10.21124/tbs.2025.183.191
Chicago/Turabian Style
Okpiabhele, Augustine, Osasemeaga, and Osahon Daniel Abu.
2025. "Antioxidant Effects of Vernonia amygdalina Leaf Extract on 1,2-Dimethylhydrazine-Induced Colon Toxicity in Rats" Trends in Biological Sciences 1, no. 2: 183-191. https://doi.org/10.21124/tbs.2025.183.191

This work is licensed under a Creative Commons Attribution 4.0 International License.


